超音波檢查在多囊卵巢症(PCOS)診斷中扮演重要角色,主要用於觀察卵巢的形態與濾泡數量,協助確認診斷標準之一。
超音波在多囊卵巢症診斷的具體角色
-
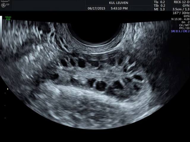
濾泡數量的評估
多囊卵巢症患者的卵巢在超音波下通常可見多顆小濾泡,通常定義為單側卵巢超過10個直徑約2-9毫米的小濾泡,這是符合國際鹿特丹共識中多囊卵巢形態的標準之一。 -
卵巢體積與結構分析
隨著超音波技術的進步,尤其是三維(3D)及四維(4D)超音波,可以更精細地評估卵巢的體積及細部解剖結構,並透過能量多普勒(Doppler)技術評估卵巢血流狀況,這些指標與雄激素濃度及高雄性激素血症有顯著相關,有助於多囊卵巢症的診斷與鑑別。 -
非侵入性且即時的檢查工具
超音波檢查是一種非侵入性、快速且可重複的檢查方式,能即時提供卵巢狀態資訊,對於臨床診斷及後續治療規劃非常有幫助。
限制與補充檢查
- 約有15%的多囊卵巢症患者在超音波下卵巢濾泡數量正常,但仍有月經不規則及男性荷爾蒙過高的症狀,因此超音波檢查需配合臨床症狀及血液荷爾蒙檢查(如LH/FSH比值、男性荷爾蒙水平、AMH值)共同診斷。
所以,超音波檢查是多囊卵巢症診斷中不可或缺的工具,主要用於確認卵巢多濾泡的形態學特徵,並結合其他臨床及實驗室檢查,提供全面的診斷依據。
